Złamania zmęczeniowe - problem biegaczy-amatorów. Dr Mikołaj Wróbel, ortopeda
Opublikowane w pon., 21/01/2019 - 23:58
– A czym złamanie zmęczeniowe różni się od tego „klasycznego”, ostrego? Tylko tym, w jaki sposób powstaje?
– Różni się zasadniczo. Przy złamaniu tzw. „klasycznym”, jeżeli ktoś np. wpadnie w dziurę i złamie nogę, powstaje krwiak, a na bazie tego krwiaka - "bioreaktor" stymulujący gojenie. Dlatego w pierwszej fazie gojenia powstaje tam dużo naczyń krwionośnych, które zapewniają dobre zaopatrzenie, odżywienie i złamanie goi się dobrze. Tak jest z większością "klasycznych" złamań, nawet leczonych zachowawczo. Rozwieję przy okazji mit: my leczymy złamania operacyjnie nie po to, żeby kości szybciej się zrastały, tylko żeby odtworzyć ich prawidłowy kształt, żeby zrosły się prawidłowo.
Druga różnica: złamania zmęczeniowe powstają na skutek "niedożywienia" kości, więc ta kość, w momencie złamania, de facto umiera z głodu. Te złamania goją się wolniej, gorzej, nie ma tam naczyń krwionośnych, które dostarczają jedzenie, więc my musimy aktywnie zadziałać, żeby tę kość dożywić i dać jej czas na odbudowę. A zatem – złamania zmęczeniowe są trudniejsze w gojeniu, niż takie proste, klasyczne złamania np. obojczyka czy kostki bocznej.
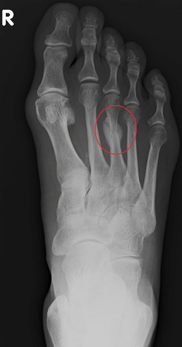
– A czy wykrywalność obu typów złamań jest tak samo łatwa? Jeżeli połamiemy sobie nogę „na ostro”, wiemy o tym od razu…
– I to samo dotyczy złamania zmęczeniowego: jeżeli zaczyna nas boleć, to znaczy, że ono się już dokonało. Do udania się do lekarza powinien skłonić każdy ból nawracający czy utrzymujący się w trakcie lub po aktywności fizycznej. Początkowo będzie bolało tylko w trakcie treningów, ale przy każdym biegu, często już po pierwszym, drugim kilometrze. Jeżeli powtarza się więcej niż trzy razy – to jest już ból nawracający i trzeba się zgłosić do lekarza. Lepiej w takim przypadku być nadgorliwcem. A biegacze, niestety, mają tendencje do ignorowania, lekceważenia bólu.
Dalej… jeżeli ból zaczyna występować już po wysiłku, to już może być poważniejsza sprawa i wtedy też lekarz musi to zobaczyć. Zróbcie usg, zróbcie rentgen i sprawdźcie, co się dzieje. Koniecznie do lekarza! Ja wiem, że teraz fizjoterapeuci są coraz lepiej wyposażeni i wykształceni, mają coraz większą wiedzę, ale zaczyna panować przekonanie, że lekarz jest zbędnym ogniwem w leczeniu biegacza. Często, w banalnych urazach typu przeciążenie łydki, spięcie karku czy spięcie lędźwi, jest to prawda. Ale może się przy okazji zdarzyć, że przegapimy przepuklinę w odcinku lędźwiowym, która wymaga leczenia operacyjnego, przeoczymy tworzące się złamanie zmęczeniowe, które przez to zaczynamy leczyć zbyt późno… nie pomijałbym więc lekarza w tym łańcuchu. My jeszcze nie jesteśmy całkowicie, zbędnym ogniwem! A diagnostyka to raczej ortopeda niż lekarz ogólny i zarówno usg, jak i rentgen, bo usg jest metodą bardziej czułą, ale za to zdjęcie rtg łatwiej wykonać.
– Ale biegacze skarżą się często, że podstawowe zalecenie lekarza przy każdej dolegliwości to: „przestać biegać!”. A to jest przecież dla biegacza-amatora bardzo często wręcz nie do przyjęcia.
– Tak. To ostatnie, co pan powiedział, jest prawdziwym problemem dla lekarza w pracy z biegaczami. Bo prawdą jest, że nie da się wyleczyć, wygoić złamania zmęczeniowego biegając. Złamanie zmęczeniowe przekształci się w takiej sytuacji w złamanie otwarte. Wtedy sytuacja jest już jasna: jeśli pacjent już zobaczy na zdjęciu rentgenowskim, że kość jest przekrzywiona i pęknięta, to zaczyna się słuchać. Tylko dlaczego tak późno?! Niestety, trzeba zrobić przerwę w treningach i startach. Czasem to oznacza nawet utratę sezonu, to prawda. Ale lepiej stracić sezon, niż trwale utracić zdrowie.
Podsumowując: złamania zmęczeni owe są istotnym problemem wśród biegaczy-amatorów, głównie ze względu na tendencję do ignorowania i bagatelizowania objawów. To powoduje, że duża część tych urazów przychodzi do nas już w stadium bardzo zaawansowanym, a niektóre wymagają już leczenia operacyjnego.
– Wygląda na to, że największym problemem kontuzjowanego biegacza nie jest uraz, a jego „głowa”
– Coś w tym jest… Najtrudniejsze dla nas w leczeniu pacjenta jest uzyskanie jego akceptacji sytuacji. Pacjent musi się pogodzić z tym, że ma problem, a jego rozwiązanie będzie o kosztowało przede wszystkim dużo czasu. Cierpliwość jest cechą najtrudniejszą do „wyszkolenia” u pacjenta. Przekonanie go do tego, że trzeba odpuścić jest największym wyzwaniem. Nie samo leczenie, tylko współpraca mentalna z pacjentem. Bo nie ma drogi na skróty. Nie da się pobiegać między jedną a drugą wizytą u lekarza. Między tymi wizytami jest czas na rehabilitację! I tutaj rzecz bardzo ważna: my nie możemy zabrać pacjentowi całej aktywności fizycznej. Musimy ją zmodyfikować. Jeżeli to jest złamanie zmęczeniowe stopy – to trzeba mu zaproponować na rehabilitacji ćwiczenia w odciążeniu, jazdę na owerze, ćwiczenia izometryczne, basen: wszystko, co nie obciąża bezpośrednio kości. Nie wolno nam zaoferować bezruchu, a przede wszystkim nie wolno zakładać pacjentowi gipsu. Unieruchomienie jest ostatecznością i gipsu w leczeniu urazów przeciążeniowych u sportowców nie stosujemy. Kropka.
rozmawiał Piotr Falkowski

